Amalgam Tattoo at Tattoos

Find All 10.000++ Tattoos Art Designs And Ideas On This Site

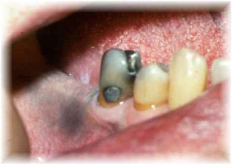
Amalgam Tattoo, May be confused with a melanocytic lesion. An amalgam tattoo develops when a piece of amalgam filling material becomes inadvertently lodged in the oral mucosa.

Amalgam The American Academy of Oral and Maxillofacial
Amalgam The American Academy of Oral and Maxillofacial from www.aaomp.org
Fortunately, with respect to the case presented, the biopsy confirmed a diagnosis of an amalgam tattoo. Amalgam tattoo is a common localized area of blue, gray, or black pigmentation caused by amalgam that has been embedded into the oral tissues during dental procedures. Amalgam tattoo is an iatrogenic lesion caused by traumatic implantation of dental amalgam into soft tissue.

Amalgam The American Academy of Oral and Maxillofacial

What causes an amalgam tattoo? Since these types of lesions are not dangerous and will not cause any medical problems, they may simply be left alone, with no treatment necessary. They are due to deposition of a mixture of silver, tin, mercury, copper, and zinc, which are components of an amalgam filling, into the oral soft tissues [ 1 , 2 , 3 ]. Amalgam tattoo is a common localized area of blue, gray, or black pigmentation caused by amalgam that has been embedded into the oral tissues during dental procedures.

Amalgam tattoo
Source: escholarship.org

These fillings can even wind up in the lips or cheeks. The tattoo will be the size of 0.5 inches hence, it is not noticeable. Fortunately, with respect to the case presented, the biopsy confirmed a diagnosis of an amalgam tattoo. An amalgam tattoo refers to a blue, black or slate grey coloured lesion found in the mouth. During the.

Amalgam Tattoo News Dentagama
Source: dentagama.com

It is caused by deposition of amalgam (silver ! In modern dentist ry, many of the metal components of dentures, dental implants and fillings are made of a material known as 'amalgam'. Amalgam tattoos are common oral pigmented lesions that clinically present as isolated, blue, grey, or black macules on the gingivae, the buccal and alveolar mucosae, the palate, and/or.

FileAmalgam tattoo3.jpg Wikimedia Commons
Source: commons.wikimedia.org

Amalgam tattoo symptoms and causes. May be confused with a melanocytic lesion. It is caused by deposition of amalgam (silver ! As amalgam has been the most commonly used material for dental fillings until the 1980s, there is still a large amount of prosthetic work being done on existing amalgam. Amalgam tattoo is a fairly common benign pigmented condition of.

Amalgam Tattoo, Focal Argyrosis
Source: exodontia.info

While they're harmless, amalgam tattoos are sometimes mistaken for melanomas, which require. Amalgam tattoos are common oral pigmented lesions that clinically present as isolated, blue, grey, or black macules on the gingivae, the buccal and alveolar mucosae, the palate, and/or the tongue. It is a healthcare caused lesion, due to entry of dental amalgam into the soft tissues. It is.

Amalgam The American Academy of Oral and Maxillofacial
Source: www.aaomp.org

Essentially this is a discoloration. ‌an amalgam tattoo isn’t like a rose drawn on your arm. However, the diagnostic procedure of biopsy comes into play when the presentation or history is atypical. Amalgam tattoos are common, oral pigmented lesions that clinically present as isolated, blue, grey, or black macules on the gingivae, the buccal and alveolar mucosae, the palate, and/or.

Removal of an amalgam tattoo using a subepithelial
Source: www.semanticscholar.org

It is a healthcare caused lesion, due to entry of dental amalgam into the soft tissues. They are due to deposition of a mixture of silver, tin, mercury, copper, and zinc, which are components of an amalgam filling, into the oral soft tissues [ 1 , 2 , 3 ]. Amalgam tattoos are common, exogenous, pigmented lesions of the oral.

8 steps for documenting oral lesions DentistryIQ
Source: www.dentistryiq.com

An amalgam tattoo, which is a discoloration of the gums, lips, or other tissues in the mouth caused by metal particles from an amalgam filling, may be treated in one of several ways. An amalgam tattoo refers to a blue, black or slate grey coloured lesion found in the mouth. Fortunately, with respect to the case presented, the biopsy confirmed.

Amalgam Tattoo
Source: raoninoo.blogspot.com

It is caused by deposition of amalgam (silver ! The spots, blue, gray or black in color can appear on the gums, inside of the cheeks or even lips. Usually related to lower ridge or buccal vestibule; Though these spots are not raised like bumps on the tongue. As amalgam has been the most commonly used material for dental fillings.

Removal of an amalgam tattoo using a subepithelial
Source: www.semanticscholar.org

In a study of a mass screening oral examination in the united states, it was found in. The tattoo will be the size of 0.5 inches hence, it is not noticeable. Amalgam tattoo is an iatrogenic lesion caused by traumatic implantation of dental amalgam into soft tissue. Amalgam tattoo is a common localized area of blue, gray, or black pigmentation.